똑바로 못 심는 게 아닙니다
기울여 심는 임플란트의 원리
수원 치과 더에스플란트치과의원 조홍재 원장
보건복지부 인증 통합치의학과 전문의
골량 부족과 해부학적 구조, 그 해법으로서의 경사 식립
안녕하세요, 수원 치과 더에스플란트치과의원 대표원장 조홍재입니다.
상담 중 엑스레이를 보여드리면 가끔 이런 질문을 받습니다.
“원장님, 임플란트가 왜 기울어져 있나요? 잘못 심은 건가요?”
결론부터 말씀드리면, 기울어진 임플란트가 잘못된 것이 아닐 수 있습니다.
오히려 골량이 부족하거나 신경·상악동이 가까운 경우,
수직으로 심는 것보다 일부러 기울여 심는 것이
더 안전하고 장기적으로도 유리한 선택이 됩니다.
이를 경사 식립(Tilted Implant Placement)이라 합니다.
오늘은 그 원리와 적응증을 솔직하게 설명드리겠습니다.
01. 수직으로 심을 수 없는 경우가 있습니다
임플란트를 심기 위해서는 뼈가 충분해야 합니다.
상악(윗턱) 후방부는 오래 치아가 없으면 상악동이 내려오면서
수직으로 임플란트를 넣을 공간이 남지 않는 경우가 많습니다.
하악(아랫턱) 후방부 역시 하치조신경이 가까워
안전 거리를 확보하기 어려운 케이스가 있습니다.
이럴 때 선택지는 두 가지입니다.
첫째, 뼈 이식(골이식술)을 시행해 부족한 뼈를 보충한 뒤 수직으로 심는 방법.
둘째, 경사 식립으로 뼈가 충분한 부위를 활용해 각도를 주어 심는 방법.
뼈 이식은 치료 기간이 길고 추가 수술이 수반됩니다.
반면 경사 식립은 뼈 이식 없이 현재 있는 뼈를 최대한 활용할 수 있어,
적절한 케이스에서는 더 빠르고 안전한 해법이 됩니다.
수직 식립 불가 케이스에서의 경사 식립 적용 원리
신경·상악동 손상 위험이 있거나, 뼈 이식 없이는 원하는 길이 확보 불가.
각도를 활용해 뼈량이 풍부한 부위에 고정. 상악동·신경과 안전 거리 자연스럽게 확보.
다이어그램은 원리 이해를 위한 개념도입니다. 실제 식립 각도는 CT 분석 결과에 따라 개인별로 다르게 결정됩니다.
02. 경사 식립이 고려되는 대표적인 세 가지 상황
경사 식립이 ‘어쩔 수 없는 차선책’이라는 인식은 오해입니다.
국제 임플란트 학계에서는
All-on-4 프로토콜 등 전악 수복을 위한 근거 기반 전략으로 널리 활용됩니다.
중요한 것은 어떤 케이스에서, 얼마나 정밀하게 시행하느냐입니다.
경사 식립이 효과적으로 활용되는 대표적인 상황은 아래와 같습니다.
상악동이 낮게 위치해
수직 식립 길이 부족 시,
경사로 전방 피질골 활용
하치조신경 위 여유 공간이
부족한 경우,
안전 거리 확보를 위해 경사 적용
4~6개 임플란트로
전체 치아를 지지하는
고난도 전악 수복
“경사 식립은 기술적 한계의 표시가 아니라,
해부학적 구조를 존중한 전략적 설계입니다.”
— 더에스플란트치과의원 조홍재 원장
03. 경사 식립은 고난도 수술입니다 —
각도 계획이 결과를 결정합니다
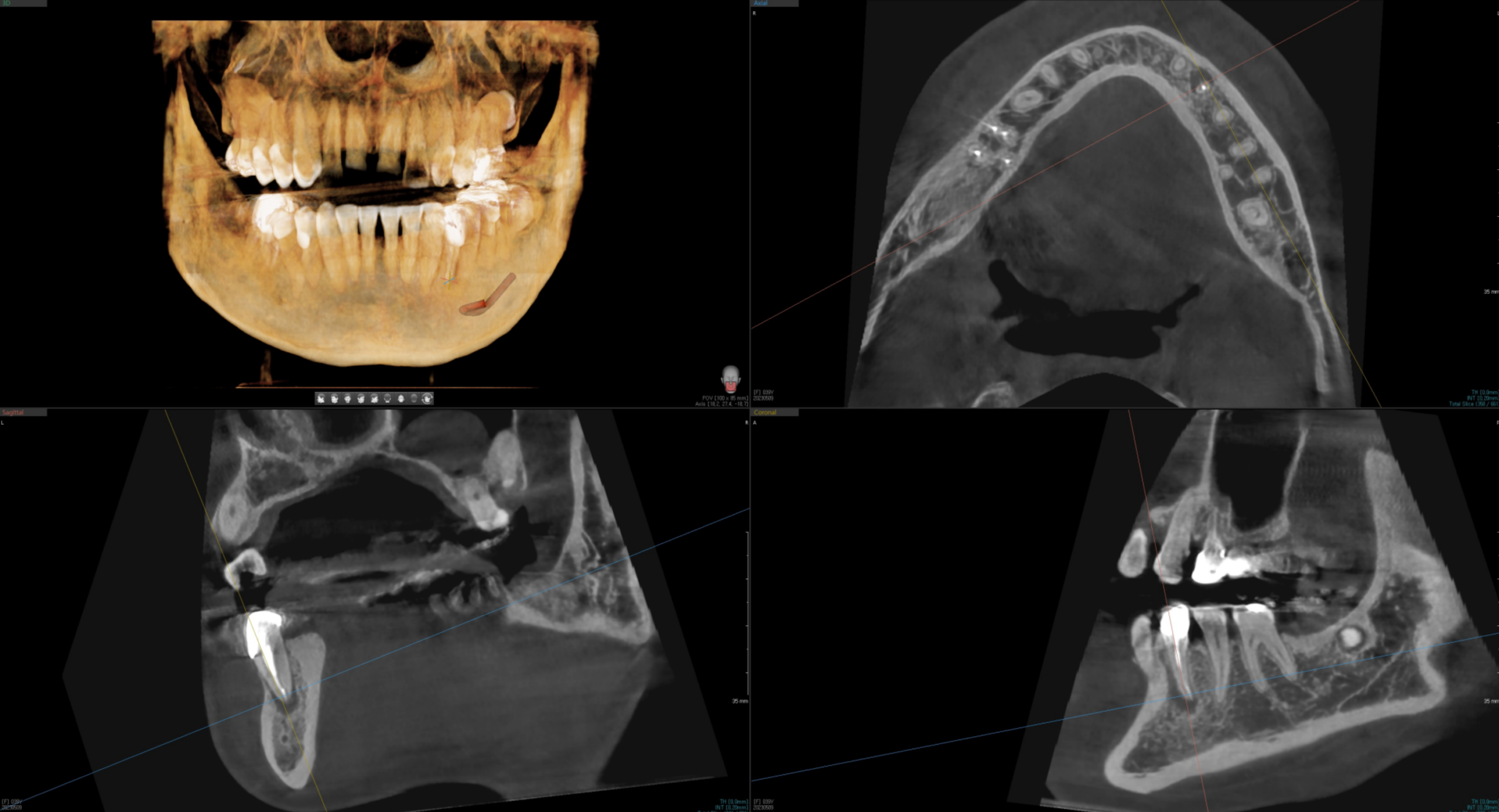
경사 식립은 수직 식립보다 훨씬 정밀한 사전 계획이 필요합니다.
기울기가 조금만 어긋나도 보철물 제작이 어려워지거나,
교합력이 임플란트 나사에 비스듬하게 전달돼 장기적으로 합병증으로 이어질 수 있습니다.
저는 경사 식립 케이스에서 반드시 CT 기반 3D 시뮬레이션을 선행합니다.
임플란트의 장축 방향, 보철물 수직 공간, 인접 구조물과의 안전 거리를
입체적으로 계산한 뒤, 서지컬 가이드를 활용해
계획된 각도를 수술실에서 정확히 구현합니다.
‘감’이 아니라 계획이 먼저입니다.
경사 식립 정밀 계획 체크포인트
고난도 수술, 수면 마취(의식하진정법)로 더 안전하게
04. 의식하진정법이란 무엇인가요 —
‘수면 마취’와 어떻게 다른가
많은 분들이 ‘수면 마취’라는 표현을 쓰지만,
치과에서 실제로 사용하는 것은 대부분 의식하진정법(Conscious Sedation)입니다.
전신마취처럼 완전히 의식을 잃는 것이 아니라,
의식은 유지하되 불안감·통증 인지를 낮추는 상태로 유도합니다.
환자분은 눈을 감고 편안한 상태에서 수술을 받으시며,
의료진의 지시에는 반응할 수 있습니다.
수술이 끝난 뒤 회복실에서 깨어나면
수술을 거의 기억하지 못하시는 경우가 대부분입니다.
전신마취에 비해 회복이 빠르고 호흡 관련 위험이 낮으며,
치과 수술에 더 적합한 방식입니다.
인공호흡 보조 필요, 회복 시간이 길고 수술실 환경 필수. 치과 수술에는 과도한 수준의 마취에 해당.
자가 호흡 유지, 상대적으로 빠른 회복, 치과 수술에 최적화된 안정적인 진정법.
05. 경사 식립 × 의식하진정법 —
왜 함께 적용하는가
경사 식립은 수직 식립보다 수술 시간이 길고 집중도가 높은 고난도 시술입니다.
수술 중 환자분이 긴장하면 몸이 움직일 수 있고,
이는 정밀한 각도 구현에 방해가 됩니다.
의식하진정법을 적용하면 환자분이 안정된 상태를 유지하고,
집도의 역시 편안하게 계획된 각도를 집행할 수 있습니다.
또한 치과 공포가 있으신 분, 구역 반사가 심한 분,
한 번에 여러 임플란트를 동시에 식립하는 분께도
의식하진정법은 수술을 훨씬 편안하게 만드는 선택지입니다.
더 안전한 수술, 더 정확한 식립 — 두 가지 목적이 함께 충족됩니다.
혈압·심장 질환·복용 약물·알레르기 이력 등을 확인해 진정법 적용 적합성을 판단합니다. 고령이나 전신질환 환자분의 경우 더욱 꼼꼼히 검토합니다.
미다졸람 계열 약물을 소량 정맥으로 투여해 점진적으로 안정된 진정 상태로 유도합니다. 과도한 투여를 방지하기 위해 반응을 관찰하며 조절합니다.
산소포화도·혈압·맥박을 지속적으로 측정합니다. 환자분이 편안한 상태를 유지하는 동안 집도의는 경사 식립에 집중할 수 있습니다.
수술이 끝난 뒤 회복실에서 충분히 깨어나실 때까지 의료진이 함께 대기합니다. 대부분 30~60분 이내에 보호자 동반 귀가가 가능합니다.
당일 운전·음주·중요 결정은 삼가셔야 합니다. 보호자 동반 귀가가 필요하며, 다음 날부터 대부분 일상생활이 가능합니다.
06. 환자분께 드리는 말씀 —
두 가지를 함께 고려해야 할 때
골량이 부족하거나 신경·상악동이 가까운 상황에서
임플란트를 고민하고 계신다면,
“뼈 이식만이 유일한 방법”이라는 이야기를 들으셨더라도
경사 식립 가능성을 먼저 확인해 보실 것을 권장합니다.
또한 치과 공포증이 있거나, 수술 자체에 극도로 불안감을 느끼신다면
의식하진정법을 적용해 훨씬 편안하게 임플란트를 받으실 수 있습니다.
더에스플란트치과의원은 CT 정밀 분석을 통해
경사 식립 적합 여부를 먼저 확인하고,
필요한 경우 의식하진정법과 함께 계획합니다.
뼈 이식 없이도 가능한지,
편안하게 받을 수 있는지 —
먼저 확인해 드리겠습니다
임플란트의 모양이 기울어져 있다는 사실이 아니라, 얼마나 정밀한 계획 위에서 심겼는가가 예후를 결정합니다. 더에스플란트치과의원은 CT 3D 분석을 기반으로 경사 식립 적합성과 의식하진정법 적용 여부를 함께 검토합니다.
FAQ : 경사 식립 & 의식하진정법 Q&A
Q. 경사 식립은 수직 식립보다 나사가 더 빨리 풀리거나 뼈가 더 많이 녹지 않나요?
Q. 경사 식립을 하면 뼈 이식을 전혀 안 해도 되나요?
Q. 의식하진정법을 받으면 수술하는 동안 아프지 않나요?
Q. 의식하진정법 후 혼자 귀가할 수 있나요?
경사 식립 가능 여부 · 의식하진정법 적용 여부 — CT 정밀 분석으로 먼저 확인해 드립니다
정밀 CT 상담 예약하기 →